おとなの歯列矯正治療例
治療例は、患者さんおよび保護者の
同意を得て掲載しています。
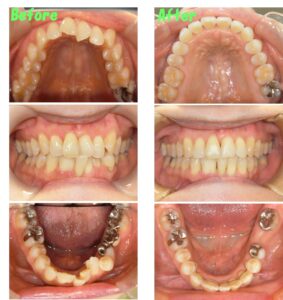
61歳の女性
上下のガタガタ(上下顎歯列叢生)を解消した症例



| 主訴 | 上下の前歯のガタガタが気になる。 |
|---|---|
| 診断名 | 上下顎歯列叢生(上下の歯列のガタガタ)、左下6番目の歯の欠損(ダミー) |
| 治療期間 | 1年4か月 |
| 治療に用いた装置 | インビザライン(マウスピース型カスタムメイド矯正歯科装置) |
| 治療方法 | 左下のダミーの歯を切断し、非抜歯で治療。歯の削合なし。 |
| 特記事項 | 右下1,右下2の歯がくっついている(癒合歯) |
上の歯列のガタガタは比較的軽度でしたので、歯列の横幅をわずかに広げてスペースを確保することとしました。
下の歯列のガタガタは重度であったため、スペース確保として下の永久歯を抜歯する方法も検討しましたが、左下6番目にダミーの歯(ブリッジ)が入っていたため、これを切断してスペースを確保し並べる方針としました。
「できるだけ目立ちにくい装置が良い。」とのご希望がありましたので、治療法は「マウスピース型矯正治療(インビザライン)」を選択しました。マウスピース型矯正治療とは、デジタルデータにて個人用に作製された数十枚のアライナー(マウスピース)を1枚目から装着し、1週間に1枚ずつ新しいアライナーに交換していくことで少しずつ歯を動かしていく最新の矯正法です。装置の使用時間は一日20~22時間以上です。この装置は薄型の透明な装置なので人に気付かれにくく、会話しやすく、痛みや違和感が少なく、食事時には装置を外せるのでごはんもおいしく食べることができます。また、通院の頻度は2か月に1度であり(通常の矯正治療は月に1回の受診が必要)、受診時の調整も短時間で済むというメリットがあります。
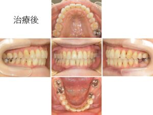
治療後、上下のガタガタが解消しました。見た目だけでなく機能的にもしっかり咬めるようになりました。現在は下の歯列に「ボンディングリテーナー」という固定式の装置、上に「クリアリテーナー」という取り外し可能な装置を装着しながら後戻りしないよう経過観察しています。今後、咬み合わせが落ち着いてから近医にて左下の欠損部にブリッジまたはインプラントを入れてしっかり咬める状態にする予定です。
- 当院はできる限り「非抜歯」の治療を心がけており抜歯治療は最終手段と考えていますが、状況により抜歯矯正になることがあります。治療後の状態を予測し、どうしても抜歯が必要な場合は抜歯治療のメリット・デメリットをご説明いたします。最終的にはご本人やご両親のご希望を加味した上で判断いたします。
矯正に伴うリスクについて見る
- 矯正に伴うリスクについて
- 最初は矯正装置による不快感、痛み等があります。数日間~1、2 週間で慣れることが多いです。
歯の動き方には個人差があります。そのため、予想された治療期間が延長する可能性があります。
装置の使用状況、顎間ゴムの使用状況、定期的な通院等、矯正治療には患者さんの協力が非常に重 要であり、それらが治療結果や治療期間に影響します。
治療中は、装置が付いているため歯が磨きにくくなります。むし歯や歯周病のリスクが高まります ので、丁寧に磨いたり、定期的なメンテナンスを受けたりすることが重要です。また、歯が動くと 隠れていたむし歯が見えるようになることもあります。
歯を動かすことにより歯根が吸収して短くなることがあります。また、歯ぐきがやせて下がること があります。
ごくまれに歯が骨と癒着していて歯が動かないことがあります。
ごくまれに歯を動かすことで神経が障害を受けて壊死することがあります。
治療途中に金属等のアレルギー症状が出ることがあります。
治療中に「顎関節で音が鳴る、あごが痛い、口が開けにくい」などの顎関節症状が出ることがあります。
様々な問題により、当初予定した治療計画を変更する可能性があります。
歯の形を修正したり、咬み合わせの微調整を行ったりする可能性があります。
矯正装置を誤飲する可能性があります。
装置を外す時に、エナメル質に微小な亀裂が入る可能性や、かぶせ物(補綴物)の一部が破損する 可能性があります。
装置が外れた後、保定装置を指示通り使用しないと後戻りが生じる可能性が高くなります。
装置が外れた後、現在の咬み合わせに合った状態のかぶせ物(補綴物)やむし歯の治療(修復物) などをやりなおす可能性があります。
あごの成長発育によりかみ合わせや歯並びが変化する可能性があります。
治療後に親知らずが生えて、凸凹が生じる可能性があります。加齢や歯周病等により歯を支えてい る骨がやせるとかみ合わせや歯並びが変化することがあります。その場合、再治療等が必要になる ことがあります。
矯正歯科治療は、一度始めると元の状態に戻すことは難しくなります。