こどもの歯列矯正治療例
治療例は、患者さんおよび保護者の
同意を得て掲載しています。
-

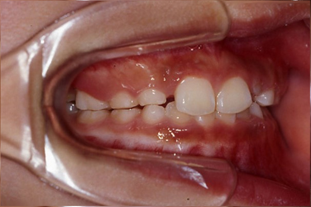
7歳3か月の男子|実例写真あり
上下顎歯列叢生の治療「インビザライン・ファースト」で治療した症例
- 主訴:上下の前歯のガタガタ、特に下の前歯のガタガタが気になる。
- 診断名:上下顎歯列叢生(上下の歯列のガタガタ)
- 治療に用いた装置:上下マウスピース矯正「インビザライン・ファースト」
(小児用マウスピース型カスタムメイド矯正装置)
-

14歳6か月の男子|実例写真あり
上下顎歯列叢生の治療「マルチブラケット装置」で治療した症例
- 主訴:上の前歯のすき間が気になる。
- 診断名:上顎前歯の空隙歯列(すきっ歯)
- 治療に用いた装置:セクショナルアーチ(マルチブラケット装置の前歯のみ版)
-

16歳2か月の女子|実例写真あり
軽度の前歯のガタガタをマウスピース型矯正装置(非抜歯)で治した症例
- 主訴:上下の前歯のガタガタが気になる。見た目が悪い。
- 診断名:上下顎軽度叢生
- 治療に用いた装置:マウスピース型矯正治療「インビザライン」
-

13歳2か月の女子|実例写真あり
ガタガタと上下の前歯の突出をマルチブラケット装置(抜歯治療)で治した症例
- 主訴:前歯のガタガタと、口もとが出ていて見た目が気になる。
- 診断名:叢生(そうせい)、上下顎前突(じょうげがくぜんとつ)
- 治療に用いた装置:マルチブラケット装置
-

10歳5か月の男子|実例写真あり
出っ歯と深いかみ合わせを、アクチバトールを用いて治療した症例
- 主訴:上の前歯が前に出ている。下あごが小さい。下の前歯が上あごに当たって痛い。
- 診断名:骨格性上顎前突(こっかくせいじょうがくぜんとつ)、過蓋咬合(かがいこうごう)
- 治療に用いた装置:アクチバトール
-

8歳8か月の女子
上下の歯並びを広げて、ガタガタを改善した症例
- 主訴:前歯のガタガタが気になる。
- 診断名:前歯部そう生(ガタガタ)、上下顎狭窄歯列弓(歯列がせまい)
- 治療に用いた装置:クワドヘリックス、バイヘリックス、拡大床(かくだいしょう)
-

7歳3か月の男子|実例写真あり
受け口を歯列矯正用咬合誘導装置「上顎前方牽引装置」で治療した症例
- 主訴:上下の前歯が反対咬み(受け口)になっていて、下あごがしゃくれている気がする。
- 診断名:骨格性反対咬合(こっかくせいはんたいこうごう)
- 治療に用いた装置:上顎前方牽引装置
-

3歳7か月の女子
受け口を歯列矯正用咬合誘導装置「プレオルソ」で治療した症例
- 主訴:前歯が反対咬みになっている。
- 診断名:歯性反対咬合(しせいはんたいこうごう)
- 治療に用いた装置:歯列矯正用咬合誘導装置「プレオルソ」
-

17歳2か月の女子|実例写真あり
上下顎歯列叢生の治療「インビザライン」で治療した症例
- 主訴:下の前歯のガタガタを治したい。
- 診断名:上下顎歯列叢生、過蓋咬合、上下の歯の中心がずれている
- 治療に用いた装置:マウスピース型矯正治療「インビザライン」
-

12歳11か月の女子|実例写真あり
上下顎歯列叢生の治療「インビザライン・ファースト」
- 主訴:八重歯が気になる。
- 診断名:上下顎歯列叢生(上下の歯列のガタガタ)
- 治療に用いた装置:マルチブラケット装置