“また歯医者さんに行こう”と思っていただける環境作り

あなたのお子様の歯並びは大丈夫ですか?
あるデータによると、矯正治療が必要なこどもは全体の7割で、そのうち半数以上は放置されているそうです。実際私たちがムシ歯治療や学校検診でお子様を診たとき、「早く矯正治療しないといけないのにお母さんは気付いていないのかな?」と思うことがとてもよくあります。矯正治療は、中・高生や大人まで待ってから治療することがありますが、3~5歳頃から早めに治療しておくべき場合もあります。特にあごの成長をコントロールしなければならない場合は、治療のタイミングを逃すと手遅れになってしまうこともあります。また、早めに矯正治療をしないと、将来的に健康な永久歯を抜歯しなければならなくなることもあります。治療すべきかどうか、またいつ始めたらよいかの判断は矯正歯科の専門医でないと難しいので、少しでも心配なことがあればまず早めに当院に相談することをお勧めします。

歯並びの治療は一貫性がとても重要です。
・3~5歳:乳歯列期
・6歳~12歳:混合歯列期
・13歳以降:永久歯列期
当院ではすべての時期における矯正治療を、院長一人が責任をもって一貫した治療を行っております。
子供の矯正治療の方法
「歯医者さんに行く」というのは、大人でもストレスに感じることが多いと思います。お子様であればなおさらストレスは大きくなります。当院ではできるだけお子様がストレスを感じず「また歯医者さんに行こう」と思っていただける環境作りを日々考えています。
-

歯列矯正用咬合誘導装置(プレオルソ)
口腔周囲筋の訓練(筋機能効果)を目的としたマウスピース型の矯正装置。マウスピースを装着し、口の周りの筋肉と舌を鍛えることで正しい歯列へ導きます。 外側に装置が見えないのが最大のメリットです。
-

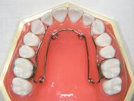
固定式の装置クワドヘリックス
クワドヘリックスは、上あごの歯並びやあごの幅を広げるために使う固定式の矯正装置です。奥歯(第一大臼歯)に金属のバンドをつけ、その間にばね状のワイヤーを取りつけた構造になっています。装置のワイヤー部分は「4つのループ(輪)」を持ち、この形が名前の由来になっています。
-

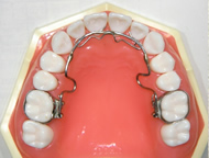
固定式の装置リンガルアーチ
リンガルアーチは、下あご(または上あご)の奥歯どうしを裏側(舌側)でつなぐ固定式の矯正装置です。左右の奥歯に金属バンドをつけ、その間を1本のワイヤーでつなぐシンプルな構造になっています。「リンガル(Lingual)」は舌側、「アーチ(Arch)」は弓形を意味します。
-

取り外し可能な床装置
床装置は、患者さん自身で取り外しできるタイプの矯正装置で、主にあごの幅を広げたり、歯を少しずつ動かすために使います。「床(しょう)」は、装置の土台部分(プラスチックのプレート)を指し、この上にスクリューやバネ、ワイヤーが取り付けられています。上あご用・下あご用のどちらもあり、目的に応じて形や機能が変わります。
-

取り外し可能な装置アクチバトール
アクチバトールは、取り外し可能な機能的矯正装置の一つで、上下の歯列をまとめて覆うような形をしています。主に成長期のお子さんで、あごの骨の成長方向や位置関係を改善するために使われます。特に下あごが後ろに位置している場合(上顎前突/出っ歯)の治療でよく使用されます。
-

矯正歯科(歯列矯正)の治療の流れ
-

カウンセリングこどもの矯正治療は、お子さんご本人、保護者の方、矯正医の三者が一体となって行わないと成功しません。保護者の方がお子さんの歯並びの問題を正しく認識し、矯正治療の目的をしっかり把握した上で治療を開始するために、どうぞ歯並びの悩みや、治療に関する疑問を何でもご相談下さい。 カウンセリングの費用は無料です。
-

検査大人の歯が不足している(先天欠損歯)、余分な歯が埋まっている(過剰歯)、将来萌出できない歯がある(埋伏歯)など、子どもの歯列は、見た目からはわからない問題が隠れていることがあります。安全な矯正治療を行うために下記の検査を行い、歯や顎、お顔の状態を細かく調べます。
-

診断検査結果にもとづいて、お子さんにとっての最適な治療開始時期、期間、費用、最善の治療方針をご提案いたします。第二期治療(永久歯列期の治療)の必要性についても説明いたします。お口の歯磨きの状態によっては、装置をつける前に、虫歯の治療、歯ブラシ指導を優先する場合があります。
-

第一期(乳歯列・混合歯列)治療の開始と調整お子さんの不正咬合に応じた矯正装置を装着いたします。
その後、1~2ヶ月に1回程度、装置の調整を行っていきます。 -

装置装着矯正治療のための前準備(虫歯の治療等)が終了し、患者様の了解が得られた場合に初めて矯正装置の装着を行います。装着には時間がかかる為、数回に分けることもあります。
-

装置調整および経過観察基本的には月1回ご来院して頂き、歯を移動させるためにワイヤー等の調整又は、順調に移動しているかどうかの経過観察を行います。
-

装置除去すべての歯の移動が完了したら装置の除去を行います。
-

保定装置除去後、移動した歯をとどめておくために、リテーナー(保定装置)という装置を装着します。これは、取り外し可能な装置です。保定期間中は2~3か月に1度ご来院下さい。
よくあるご質問
- 治療期間と通う回数を教えて下さい。
- 矯正治療が開始したら、装置の調整やチェックのため月に1回程度の受診が必要になります。(ただし、経過観察中の受診は2~3か月に1回程度です。)。平均的な矯正治療期間は2年~3年程度ですが、乳歯が残っている時期(混合歯列期)から治療を開始する場合は、あごの成長や歯のはえかわりを長期的にみていく必要があるため、5~8年程度かかることもあります。
- 指しゃぶりを早くやめないと歯並びが悪くなりますか?
- 指しゃぶりによって前歯が飛び出たり、開咬といって上の歯と下の歯が噛みあわなくなることもよくあります。また、舌を前に出す癖のある子どもも、開咬になりやすいです。ただ、この癖は矯正用の器具で治ることが多いので是非ご相談ください。
- 子どもの矯正を始める時期はいつごろがいいですか?
- 子どもが矯正を始めるべき時期は、ケースバイケースで異なります。中でも「受け口」の場合は早期に対処しなければ手遅れとなることがありますので注意が必要です。受け口とは、上下の前歯のかみ合わせが反対になっていることをいいます。場合により3~4歳から治療開始すべきこともあります。特に骨格に問題がある場合は早期の治療開始が望ましいです。また、永久歯が生え揃ってからだと、永久歯を抜く「抜歯矯正」一択になることがありますが、早期に治療を始めることで抜歯矯正を免れることもあります。お子様の歯並びが気になる場合はなるべく早めにご相談されると治療の選択肢が広がります。
- 矯正を始めるのは永久歯が生え揃ってからの方がいいですか?
- 永久歯にすべてはえかわってから治療すべきこともありますが、骨の成長発育を利用できる低年齢から治療を始める方が有利なこともあります。受け口は早め(3~4歳)から治療すべきこともあり、あごが小さくて歯が並びきらない場合は6歳くらいから始めることが多いです。
子供の歯列矯正の実例
-
7歳8か月の女子|実例写真あり
重度の開咬症例「インビザライン・ファースト」(小児用マウスピース型カスタムメイド矯正装置)で治療した症例
- 主訴:前歯で物が咬み切れない。
- 診断名:重度の開咬(前歯が咬んでいない)、下顎前突(受け口)、ガタガタ(そう生)
- 治療に用いた装置:上下マウスピース矯正「インビザライン・ファースト」(小児用マウスピース型カスタムメイド矯正装置)
-
7歳3か月の男子|実例写真あり
上下顎歯列叢生の治療「インビザライン・ファースト」で治療した症例
- 主訴:上下の前歯のガタガタ、特に下の前歯のガタガタが気になる。
- 診断名:上下顎歯列叢生(上下の歯列のガタガタ)
- 治療に用いた装置:上下マウスピース矯正「インビザライン・ファースト」
(小児用マウスピース型カスタムメイド矯正装置)
-
14歳6か月の男子|実例写真あり
上下顎歯列叢生の治療「マルチブラケット装置」で治療した症例
- 主訴:上の前歯のすき間が気になる。
- 診断名:上顎前歯の空隙歯列(すきっ歯)
- 治療に用いた装置:セクショナルアーチ(マルチブラケット装置の前歯のみ版)
-
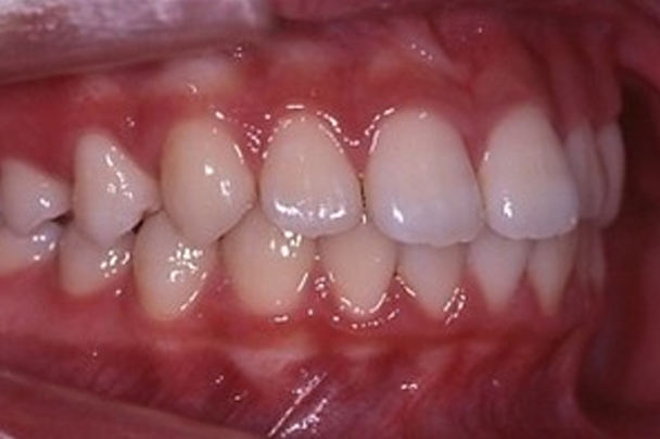
16歳2か月の女子|実例写真あり
軽度の前歯のガタガタをマウスピース型矯正装置(非抜歯)で治した症例
- 主訴:上下の前歯のガタガタが気になる。見た目が悪い。
- 診断名:上下顎軽度叢生
- 治療に用いた装置:マウスピース型矯正治療「インビザライン」