学生から社会人の方までの矯正を幅広く対応しております

なぜ矯正歯科が必要なのか?
不正咬合(噛み合わせ)の問題を考える
歯ならび(噛み合わせ)が悪いことを「不正咬合」といいます。不正咬合は見た目が悪いだけでなく、ムシ歯や歯周病の原因になることがあります。また、食物をかみ切る、すりつぶす、しゃべる、といった当たり前のことに支障をきたす場合もあり、歯やあごの関節に負担がかかることで歯の破折(折れること)や顎関節症になるリスクも高まってしまいます。さらに噛み合わせは全身のバランスとの関わりも強いため、不正咬合だとスポーツにおける能力低下や、免疫力が低下して病気になりやすくなることも考えられます。つまり、不正咬合は体にとって「百害あって一利なし」の状態なのです。当院ではこの不正咬合を治療する「矯正治療」を専門的に行っております。来院される患者の皆様のお口の中、ひいては全身が健康になり、いきいきとした毎日を過ごしていただけるように尽力していきます。
大人の矯正治療の方法
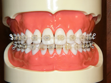
表側矯正は一番歴史のある矯正方法で、様々な歯並びの症例に対応することができます。
白や透明色など目立たない色の装置を使用しています。
-
表側矯正
表側矯正は一番歴史のある矯正方法で、様々な歯並びの症例に対応することができます。白や透明色など目立たない色の装置を使用しています。

クリアブラケット
壊れにくく審美性の高いレジン性クリアブラケットを採用。
メタルブラケット
安価で丈夫な金属性のブラケットです。
ワイヤー
ワイヤーは歯の色との親和性の高いホワイトワイヤーも使用可能です。
-

舌側矯正(リンガル・ハーフリンガル)
歯の舌側に装置をつけることで人に矯正している事を気づかれずに治療できる矯正方法になります。外側に装置が見えないのが最大のメリットです。
外側に装置が見えないのが最大のメリットです。 -

矯正歯科(歯列矯正)の治療の流れ
-

カウンセリング経験豊富な矯正歯科医による診察を行い、治療方法・治療期間・費用などのご説明をいたします。カウンセリングの費用は無料です。
-

検査治療計画を立てるため、レントゲン撮影・歯型取り・顔や口の写真撮影・顎関節の検査等を行います。
-

診断診断結果についてお話し致します。そこで、矯正治療に用いる装置の決定(選択)及び料金(治療費)治療期間についてお話し致します。(この時は、料金は必要ありません。)ここで治療の必要がある蝕歯(虫歯)や抜歯すべき歯がある場合には、これらの処置を行うように致します。
-

装置装着矯正治療のための前準備(虫歯の治療等)が終了し、患者様の了解が得られた場合に初めて矯正装置の装着を行います。装着には時間がかかる為、数回に分けることもあります。
-

装置調整および経過観察基本的には月1回ご来院して頂き、歯を移動させるためにワイヤー等の調整又は、順調に移動しているかどうかの経過観察を行います。
-

装置除去すべての歯の移動が完了したら装置の除去を行います。
-

装置除去装置除去後、移動した歯をとどめておくために、リテーナー(保定装置)という装置を装着します。これは、取り外し可能な装置です。保定期間中は2~3か月に1度ご来院下さい。
よくあるご質問
- 治療期間と通う回数を教えて下さい。
- 矯正治療が開始したら、装置の調整やチェックのため月に1回程度の受診が必要になります。(ただし、経過観察中の受診は2~3か月に1回程度です。)。平均的な矯正治療期間は2年~3年程度です。
- 矯正治療は何歳まで可能ですか?
- 歯と健康な歯ぐきさえあれば、何歳でも(たとえ80歳でも)矯正治療は可能です。実際、最近では大人で矯正治療を受ける人はとても増えており、もはや大人が矯正治療するのは当たり前の社会となってきています。また仕事に差し支えがないように目立たない矯正装置を使うことも可能です。当院では子どもから大人まで、幅広い矯正治療を行っておりますので「私はもう大人だから…」とあきらめず、お気軽にご相談下さい。
- 永久歯を抜かずに矯正治療できますか?
- 歯は、歯槽骨という土台に並んでいます。歯が大きすぎたり、土台が小さすぎたりすると、ガタガタの歯並びになってしまいます。ガタガタが強い場合、矯正治療時に役割の少ない永久歯(前から4または5番目の歯)を抜歯してスペースを作らないといけないことがあります。なぜなら、無理に抜歯せずに矯正治療すると口元が出てしまい、口を閉じにくくなったり見た目がさらに悪くなったりすることがあるからです。また、抜歯しなければ矯正治療が終了した後の「後戻り」のリスクが高まってしまうこともあります。当院では「できるだけ歯を抜かない矯正治療」を心がけていますが、もし抜歯した方が良いと考えられる場合は、抜歯のメリット・デメリットをしっかりとご説明し、患者様のご意見を最大限尊重しつつ最終的な治療計画を提案いたします。治療に対するご要望などございましたら、どうぞ遠慮なくご相談ください。
大人の歯列矯正の実例
-
61歳の女性|実例写真あり
上下のガタガタ(上下顎歯列叢生)を解消した症例
- 主訴:上下の前歯のガタガタが気になる。
- 診断:上下顎歯列叢生(上下の歯列のガタガタ)、左下6番目の歯の欠損(ダミー)
- 治療に用いた装置:インビザライン(マウスピース型カスタムメイド矯正歯科装置)
-
34歳の女性|実例写真あり
上下顎歯列叢生の治療「マルチブラケット装置」で治療した症例
- 主訴:全体的なガタガタが気になる。しっかり咬めない。
- 診断名:上下顎歯列叢生(上下の歯列のガタガタ)
- 治療に用いた装置:マルチブラケット装置
-
27歳の女性|実例写真あり
上下顎歯列叢生の治療「マルチブラケット装置」で治療した症例
- 主訴:左上の八重歯が気になる。ガタガタが強くてしっかり咬めない。
- 診断名:上下顎歯列叢生(上下の歯列のガタガタ)
- 治療に用いた装置:マルチブラケット装置
-
48歳の男性|実例写真あり
ガタガタとすきっ歯を非抜歯で治療した症例
- 主訴:上下の前歯のすきっ歯が気になる。
- 診断名:空隙歯列(くうげきしれつ)、叢生(そうせい)
- 治療に用いた装置:マルチブラケット装置