インビザライン(マウスピース型矯正装置)

「歯並びを矯正したいけど、矯正装置は目立つのでやりたくない。」という方のために、当院ではインビザライン(マウスピース型矯正装置)をお勧めしています。
インビザライン(マウスピース型矯正装置)は、目立たず周りに気づかれにくいこと、ワイヤー矯正と比べて痛みが少ないこと、患者様へのご負担が少ないことなど、とても有用な治療法です。

負担なく歯型取りが出来る
『iTero(アイテロ)』を導入
インビザライン専用の光学スキャナー『iTero(アイテロ)』は、今までの印象採得よりも精密な歯型が取れるだけでなく、印象材が必要ないので歯型取りが苦手な患者様でも安心して処置を受けていただけます。
『iTero(アイテロ)』で採取したデータはインビザライン本社(アメリカ)とインターネット上でデータのやり取りができるため、時間が省け治療期間の短縮にも繋がります。
インビザライン
(マウスピース型矯正装置)は
こんな方におすすめ!

- なるべく他人に気づかれずに歯列を矯正したい方
- 今までと同じように食事をおいしく楽しみたい方
- 金属アレルギーに不安がある方
- 取り外しができない治療に不安がある方
- 一定の装着時間を守るセルフコントロールができる
- インビザライン(マウスピース型矯正装置)の注意点
- インビザライン(マウスピース型矯正装置)は装置が取り外せることは大きなメリットでもありますが、簡単に装置が取り外せるため、患者様が責任を持って決められた時間装置を付けなければ治療は進みません。また、インビザライン(マウスピース型矯正装置)のみでの治療に限界がある場合は、ワイヤー等の補助的な装置が必要になることがあります。
インビザライン(マウスピース型矯正装置)の流れ
-

カウンセリング矯正治療を希望されて来院された方は、まず相談という形でお話を伺わせていただきます。その後歯並びを見せていただき、お悩みや治療のご希望をお伺いいたします。院長がお口の状態を拝見し、必要な処置、治療プラン(抜歯が必要かどうか)、おおよその治療期間についてご説明いたします。
カウンセリングの費用は無料です。 -

検査口腔内写真、顔面写真、レントゲン撮影、口腔内スキャンなど、診断に必要な資料採得を行います。これらの情報を元に治療計画を立案します。
-

診断・治療計画のご説明具体的な治療計画(装置の使用法、歯を抜く必要があるのか、顎の横幅を拡げるのか、歯を後方に動かして前歯を並べるスペースを作るのかなど)をご説明いたします。
-

治療開始出来上がったマウスピースを患者さんにお渡しし、実際に治療を開始します。装置の使用方法や注意点について説明します。この日からマウスピース(アライナー)を20~22時間装着していただきます。1~2週間おきに新しいマウスピースに交換していきます。その後は2か月に1回程度受診していただき、計画通り歯が動いているかのチェックを行います。

インビザライン社からプラチナ・エリート認定の盾が届きました
よくあるご質問
- マウスピースをはめるだけで、本当に歯が動くのですか?
- マウスピースは、歯とアタッチメントに密着して持続的に力を加え、歯を目標の位置へ移動させます。
定期的にマウスピースを交換することで矯正を行っていきます。 「現在の歯並びに近い形」のマウスピースからスタートし、歯の動きに合わせて徐々に整った歯並びのマウスピースに交換していくことで、 歯がきれいな歯並びへと動いていきます。 - 歯並びによっては、マウスピース矯正で治療できないこともありますか?
- 極度に歯並びが悪い方、上下の顎の位置にズレがある方、歯の数が少ない方、咬合力が強すぎる方などはインビザライン(マウスピース型矯正装置)が適用できない事があります。まずは、お気軽にご相談下さい。
- 治療期間はどれくらいですか?
- 患者様の歯並びの状態により変わってきますが、インビザライン(マウスピース型矯正装置)の治療期間の目安は、5ヶ月〜2年程度になります。
インビザラインの実例
-
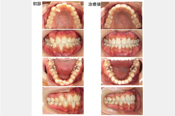
61歳の女性|実例写真あり
上下のガタガタ(上下顎歯列叢生)を解消した症例
- 主訴:上下の前歯のガタガタが気になる。
- 診断:上下顎歯列叢生(上下の歯列のガタガタ)、左下6番目の歯の欠損(ダミー)
- 治療に用いた装置:インビザライン(マウスピース型カスタムメイド矯正歯科装置)
-
7歳3か月の男子|実例写真あり
上下顎歯列叢生の治療「インビザライン・ファースト」で治療した症例
- 主訴:上下の前歯のガタガタ、特に下の前歯のガタガタが気になる。
- 診断名:上下顎歯列叢生(上下の歯列のガタガタ)
- 治療に用いた装置:上下マウスピース矯正「インビザライン・ファースト」
(小児用マウスピース型カスタムメイド矯正装置)
-
22歳の男性|実例写真あり
就職前に歯並びを良くしておきたい。「インビザライン」の症例
- 主訴:就職前に歯並びを良くしておきたい。
- 診断名:上下顎歯列叢生
- 治療に用いた装置:マウスピース矯正「インビザライン」
-
16歳2か月の女子|実例写真あり
軽度の前歯のガタガタをマウスピース型矯正装置(非抜歯)で治した症例
- 主訴:上下の前歯のガタガタが気になる。見た目が悪い。
- 診断名:上下顎軽度叢生
- 治療に用いた装置:マウスピース型矯正治療「インビザライン」
