おとなの歯列矯正治療例
治療例は、患者さんおよび保護者の
同意を得て掲載しています。
-

61歳の女性|実例写真あり
上下のガタガタ(上下顎歯列叢生)を解消した症例
- 主訴:上下の前歯のガタガタが気になる。
- 診断:上下顎歯列叢生(上下の歯列のガタガタ)、左下6番目の歯の欠損(ダミー)
- 治療に用いた装置:インビザライン(マウスピース型カスタムメイド矯正歯科装置)
-

34歳の女性|実例写真あり
上下顎歯列叢生の治療「マルチブラケット装置」で治療した症例
- 主訴:全体的なガタガタが気になる。しっかり咬めない。
- 診断名:上下顎歯列叢生(上下の歯列のガタガタ)
- 治療に用いた装置:マルチブラケット装置
-

27歳の女性|実例写真あり
上下顎歯列叢生の治療「マルチブラケット装置」で治療した症例
- 主訴:左上の八重歯が気になる。ガタガタが強くてしっかり咬めない。
- 診断名:上下顎歯列叢生(上下の歯列のガタガタ)
- 治療に用いた装置:マルチブラケット装置
-

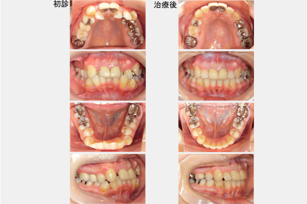
48歳の男性|実例写真あり
ガタガタとすきっ歯を非抜歯で治療した症例
- 主訴:上下の前歯のすきっ歯が気になる。
- 診断名:空隙歯列(くうげきしれつ)、叢生(そうせい)
- 治療に用いた装置:マルチブラケット装置
-

23歳の女性|実例写真あり
開咬とガタガタを抜歯治療で治した症例
- 主訴:前歯で物が咬み切れない。しゃべるときに空気がもれてしまう。
- 診断名:開咬(かいこう)、叢生(そうせい)
- 治療に用いた装置:マルチブラケット装置
-

22歳の男性|実例写真あり
就職前に歯並びを良くしておきたい。「インビザライン」の症例
- 主訴:就職前に歯並びを良くしておきたい。
- 診断名:上下顎歯列叢生
- 治療に用いた装置:マウスピース矯正「インビザライン」
-

53歳の女性|実例写真あり
被せ物の多いガタガタの治療「マルチブラケット装置」で治療した症例
- 主訴:ガタガタが強いので見た目が気になる、ブラッシングが難しいのでむし歯になりやすい、歯周病にならないか心配。
- 診断名:上下顎歯列叢生
- 治療に用いた装置:マルチブラケット装置(右上5番目、左上4番目、左下4番目の歯を計3本抜歯)