こどもの歯列矯正治療例
治療例は、患者さんおよび保護者の
同意を得て掲載しています。
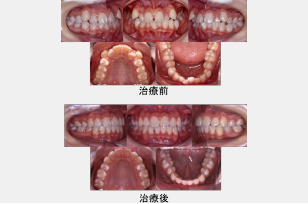
13歳2か月の女子
ガタガタと上下の前歯の突出をマルチブラケット装置(抜歯治療)で治した症例
| 主訴 | 前歯のガタガタと、口もとが出ていて見た目が気になる。 |
|---|---|
| 診断名 | 叢生(そうせい)、上下顎前突(じょうげがくぜんとつ) |
| 治療に用いた装置 | マルチブラケット装置(上下左右の前から4番目の歯を計4本抜歯) |
前歯のガタガタと、上下の前歯が前方に出ていて口がとじにくいとのことで来院されました。診査・検査したところ、土台(歯槽骨)に対して歯が大きく、きれいに歯が並ぶスペースが足りていないことがわかりました。多少のスペース不足であれば歯並びを広げたり奥歯を後ろに下げたりして並べることもありますが、この患者さんのスペース不足は重度でした。もしこのまま無理やり並べようとすると治療後に前歯がさらに出たり、しっかり咬めなくなることが懸念されました。また後戻りのリスクが高まると考えられました。熟慮した上で、上下左右の前から4番目の永久歯を抜歯する「抜歯矯正」をお勧めしました。
この患者さんは抜歯するということに最初は少し抵抗がありましたが、抜歯矯正の方が審美面・機能面で満足できる状態になることなどについてご説明したところ、最終的に抜歯矯正で治療したいと希望されました。近医にて抜歯後、「マルチブラケット装置」という装置を装着しました。この装置はすべての歯の表面に「ブラケット」というボタンを特殊なボンドで接着し、アーチ状のワイヤーを結び付ける装
- 当院はできる限り「非抜歯」の治療を心がけており抜歯治療は最終手段と考えていますが、状況により抜歯矯正になることがあります。治療後の状態を予測し、どうしても抜歯が必要な場合は抜歯治療のメリット・デメリットをご説明いたします。最終的にはご本人やご両親のご希望を加味した上で判断いたします。
矯正に伴うリスクについて見る
- 矯正に伴うリスクについて
- 最初は矯正装置による不快感、痛み等があります。数日間~1、2 週間で慣れることが多いです。
歯の動き方には個人差があります。そのため、予想された治療期間が延長する可能性があります。
装置の使用状況、顎間ゴムの使用状況、定期的な通院等、矯正治療には患者さんの協力が非常に重 要であり、それらが治療結果や治療期間に影響します。
治療中は、装置が付いているため歯が磨きにくくなります。むし歯や歯周病のリスクが高まります ので、丁寧に磨いたり、定期的なメンテナンスを受けたりすることが重要です。また、歯が動くと 隠れていたむし歯が見えるようになることもあります。
歯を動かすことにより歯根が吸収して短くなることがあります。また、歯ぐきがやせて下がること があります。
ごくまれに歯が骨と癒着していて歯が動かないことがあります。
ごくまれに歯を動かすことで神経が障害を受けて壊死することがあります。
治療途中に金属等のアレルギー症状が出ることがあります。
治療中に「顎関節で音が鳴る、あごが痛い、口が開けにくい」などの顎関節症状が出ることがあります。
様々な問題により、当初予定した治療計画を変更する可能性があります。
歯の形を修正したり、咬み合わせの微調整を行ったりする可能性があります。
矯正装置を誤飲する可能性があります。
装置を外す時に、エナメル質に微小な亀裂が入る可能性や、かぶせ物(補綴物)の一部が破損する 可能性があります。
装置が外れた後、保定装置を指示通り使用しないと後戻りが生じる可能性が高くなります。
装置が外れた後、現在の咬み合わせに合った状態のかぶせ物(補綴物)やむし歯の治療(修復物) などをやりなおす可能性があります。
あごの成長発育によりかみ合わせや歯並びが変化する可能性があります。
治療後に親知らずが生えて、凸凹が生じる可能性があります。加齢や歯周病等により歯を支えてい る骨がやせるとかみ合わせや歯並びが変化することがあります。その場合、再治療等が必要になる ことがあります。
矯正歯科治療は、一度始めると元の状態に戻すことは難しくなります。

