こどもの歯列矯正治療例
治療例は、患者さんおよび保護者の
同意を得て掲載しています。
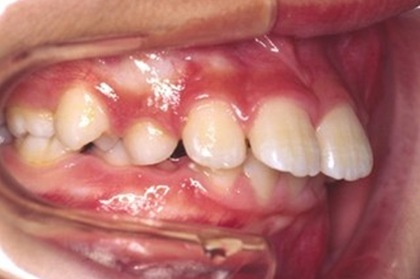
10歳5か月の男子
出っ歯と深いかみ合わせを、アクチバトールを用いて治療した症例

治療前
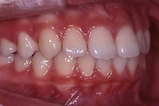
治療後



| 主訴 | 上の前歯が前に出ている。下あごが小さい。下の前歯が上あごに当たって痛い。 |
|---|---|
| 診断名 | 骨格性上顎前突(こっかくせいじょうがくぜんとつ)、過蓋咬合(かがいこうごう) |
| 治療に用いた装置 | アクチバトール |
上の前歯と下の前歯の間に1センチくらいの距離があり、口が閉じにくく見た目が気になるとのこと。また、前歯のかみ合わせがとても深いため、下の前歯と上あごの粘膜が接触しており、上あごの粘膜が炎症を起こして痛みのある状態でした。この患者さんは「出っ歯」と「過蓋咬合」の複合タイプのかみ合わせでした。出っ歯というと上の前歯が前方に出ている様子を想像しますが、この患者さんを検査したところ下あごが平均よりもかなり後ろに位置していることがわかりました。下あごの成長が弱い「骨格性上顎前突」という診断名でした。「アクチバトール」という取り外し可能な装置を使用することになりました。この装置を口の中に入れて口を閉じると、下あごを「前咬み」した状態になります。下あごを前咬みした状態を維持することで、成長期の患者さんであれば下あごの前方成長が促されます。また、この装置は前歯の深いかみ合わせ(過蓋咬合)を改善する働きもあります。この装置は睡眠時を中心に一日12時間使用するものですが、長時間使用した方が効果的であるため、毎日学校から帰宅したらすぐに装置を装着するようにお願いしました。
1年10か月が経過し、下あごが正常な位置まで成長し、出っ歯が解消しました。また過蓋咬合も改善し、下の前歯で上あごの粘膜を咬むことはなくなりました。下あごの成長が期待できるのは「身長がのびている間」に限られていますので、早めに対処することで、あごの成長を用いた治療を行うことができました。矯正治療前は、13歳頃から「抜歯矯正(永久歯を4本抜歯してならべる矯正治療)」になるかもしれないとの説明をしていましたが、このまま下あごの位置が落ち着けば、仕上げの治療(マルチブラケット治療)は不要になるかもしれません。
- 当院はできる限り「非抜歯」の治療を心がけており抜歯治療は最終手段と考えていますが、状況により抜歯矯正になることがあります。治療後の状態を予測し、どうしても抜歯が必要な場合は抜歯治療のメリット・デメリットをご説明いたします。最終的にはご本人やご両親のご希望を加味した上で判断いたします。
矯正に伴うリスクについて見る
- 矯正に伴うリスクについて
- 最初は矯正装置による不快感、痛み等があります。数日間~1、2 週間で慣れることが多いです。
歯の動き方には個人差があります。そのため、予想された治療期間が延長する可能性があります。
装置の使用状況、顎間ゴムの使用状況、定期的な通院等、矯正治療には患者さんの協力が非常に重 要であり、それらが治療結果や治療期間に影響します。
治療中は、装置が付いているため歯が磨きにくくなります。むし歯や歯周病のリスクが高まります ので、丁寧に磨いたり、定期的なメンテナンスを受けたりすることが重要です。また、歯が動くと 隠れていたむし歯が見えるようになることもあります。
歯を動かすことにより歯根が吸収して短くなることがあります。また、歯ぐきがやせて下がること があります。
ごくまれに歯が骨と癒着していて歯が動かないことがあります。
ごくまれに歯を動かすことで神経が障害を受けて壊死することがあります。
治療途中に金属等のアレルギー症状が出ることがあります。
治療中に「顎関節で音が鳴る、あごが痛い、口が開けにくい」などの顎関節症状が出ることがあります。
様々な問題により、当初予定した治療計画を変更する可能性があります。
歯の形を修正したり、咬み合わせの微調整を行ったりする可能性があります。
矯正装置を誤飲する可能性があります。
装置を外す時に、エナメル質に微小な亀裂が入る可能性や、かぶせ物(補綴物)の一部が破損する 可能性があります。
装置が外れた後、保定装置を指示通り使用しないと後戻りが生じる可能性が高くなります。
装置が外れた後、現在の咬み合わせに合った状態のかぶせ物(補綴物)やむし歯の治療(修復物) などをやりなおす可能性があります。
あごの成長発育によりかみ合わせや歯並びが変化する可能性があります。
治療後に親知らずが生えて、凸凹が生じる可能性があります。加齢や歯周病等により歯を支えてい る骨がやせるとかみ合わせや歯並びが変化することがあります。その場合、再治療等が必要になる ことがあります。
矯正歯科治療は、一度始めると元の状態に戻すことは難しくなります。