こどもの歯列矯正治療例
治療例は、患者さんおよび保護者の
同意を得て掲載しています。
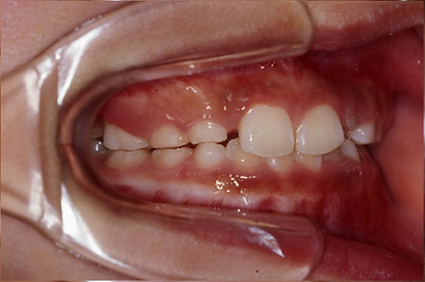
7歳3か月の男子
受け口を歯列矯正用咬合誘導装置「上顎前方牽引装置」で治療した症例
| 主訴 | 上下の前歯が反対咬み(受け口)になっていて、下あごがしゃくれている気がする。 |
|---|---|
| 診断名 | 骨格性反対咬合(こっかくせいはんたいこうごう) |
| 治療に用いた装置 | 上顎前方牽引装置(MPA) |
前歯のかみ合わせが反対になっていることと、横顔で下あごがしゃくれていることが気になって来院されました。
お父様が少し受け口でしたので、遺伝的にも受け口の傾向があると疑いました。検査をしたところ、上下の顎の位置が原因の「骨格性反対咬合」という状態であることがわかりました。「受け口」というと下あごが前に出ている様子を想像してしまいますが、この患者さんは上あごの成長が弱いタイプの受け口でした。この状態は放っておくと成長とともにさらに受け口がひどくなる可能性があることと、上あごの成長を用いる矯正治療は早いうちにしておかないと効果が出にくくなることから、すぐに矯正治療を開始しました。
「上顎前方牽引装置」という装置を使用することになりました。この装置は上の歯にセメントで固定する「口腔内装置」と、つけ外し可能な「フェイスマスク」から構成されます。この装置には上あごを前方に成長させる効果があり、骨格的な受け口にアプローチ可能なものです。この装置の有効期間には限りがあり、小学校4~5年生頃にはあまり効かなくなってしまいます。この患者さんは早期に来院してもらえたため効果が期待できると考え、急いで治療を開始しました。フェイスマスクは睡眠時のみ使用しました。フェイスマスクのつけ外しは、最初の数日はお母様に手伝ってもらっていましたが、1か月すれば自分で鏡なしでも着脱できるようになっていました。装置使用による痛みはほとんどなかったとのことです。
徐々に上あごが前方に成長し、使用開始5か月で受け口がきれいに治りました。その後も装置の使用を継続し、ちょうど1年で装置を撤去しました。現在は上下のあごの状態や歯並びに全く問題がない状態ですが、身長が伸びている間は下あごが成長してくるため、13歳頃まで下あごの成長に留意しながら経過観察していく予定です。
- 当院はできる限り「非抜歯」の治療を心がけており抜歯治療は最終手段と考えていますが、状況により抜歯矯正になることがあります。治療後の状態を予測し、どうしても抜歯が必要な場合は抜歯治療のメリット・デメリットをご説明いたします。最終的にはご本人やご両親のご希望を加味した上で判断いたします。
矯正に伴うリスクについて見る
- 矯正に伴うリスクについて
- 最初は矯正装置による不快感、痛み等があります。数日間~1、2 週間で慣れることが多いです。
歯の動き方には個人差があります。そのため、予想された治療期間が延長する可能性があります。
装置の使用状況、顎間ゴムの使用状況、定期的な通院等、矯正治療には患者さんの協力が非常に重 要であり、それらが治療結果や治療期間に影響します。
治療中は、装置が付いているため歯が磨きにくくなります。むし歯や歯周病のリスクが高まります ので、丁寧に磨いたり、定期的なメンテナンスを受けたりすることが重要です。また、歯が動くと 隠れていたむし歯が見えるようになることもあります。
歯を動かすことにより歯根が吸収して短くなることがあります。また、歯ぐきがやせて下がること があります。
ごくまれに歯が骨と癒着していて歯が動かないことがあります。
ごくまれに歯を動かすことで神経が障害を受けて壊死することがあります。
治療途中に金属等のアレルギー症状が出ることがあります。
治療中に「顎関節で音が鳴る、あごが痛い、口が開けにくい」などの顎関節症状が出ることがあります。
様々な問題により、当初予定した治療計画を変更する可能性があります。
歯の形を修正したり、咬み合わせの微調整を行ったりする可能性があります。
矯正装置を誤飲する可能性があります。
装置を外す時に、エナメル質に微小な亀裂が入る可能性や、かぶせ物(補綴物)の一部が破損する 可能性があります。
装置が外れた後、保定装置を指示通り使用しないと後戻りが生じる可能性が高くなります。
装置が外れた後、現在の咬み合わせに合った状態のかぶせ物(補綴物)やむし歯の治療(修復物) などをやりなおす可能性があります。
あごの成長発育によりかみ合わせや歯並びが変化する可能性があります。
治療後に親知らずが生えて、凸凹が生じる可能性があります。加齢や歯周病等により歯を支えてい る骨がやせるとかみ合わせや歯並びが変化することがあります。その場合、再治療等が必要になる ことがあります。
矯正歯科治療は、一度始めると元の状態に戻すことは難しくなります。



