Case Child orthodontics
こどもの歯列矯正治療例

うえき矯正歯科|こどもの矯正治療の実例

こどもの歯列矯正治療例

治療例は、患者さんおよび保護者の
同意を得て掲載しています。

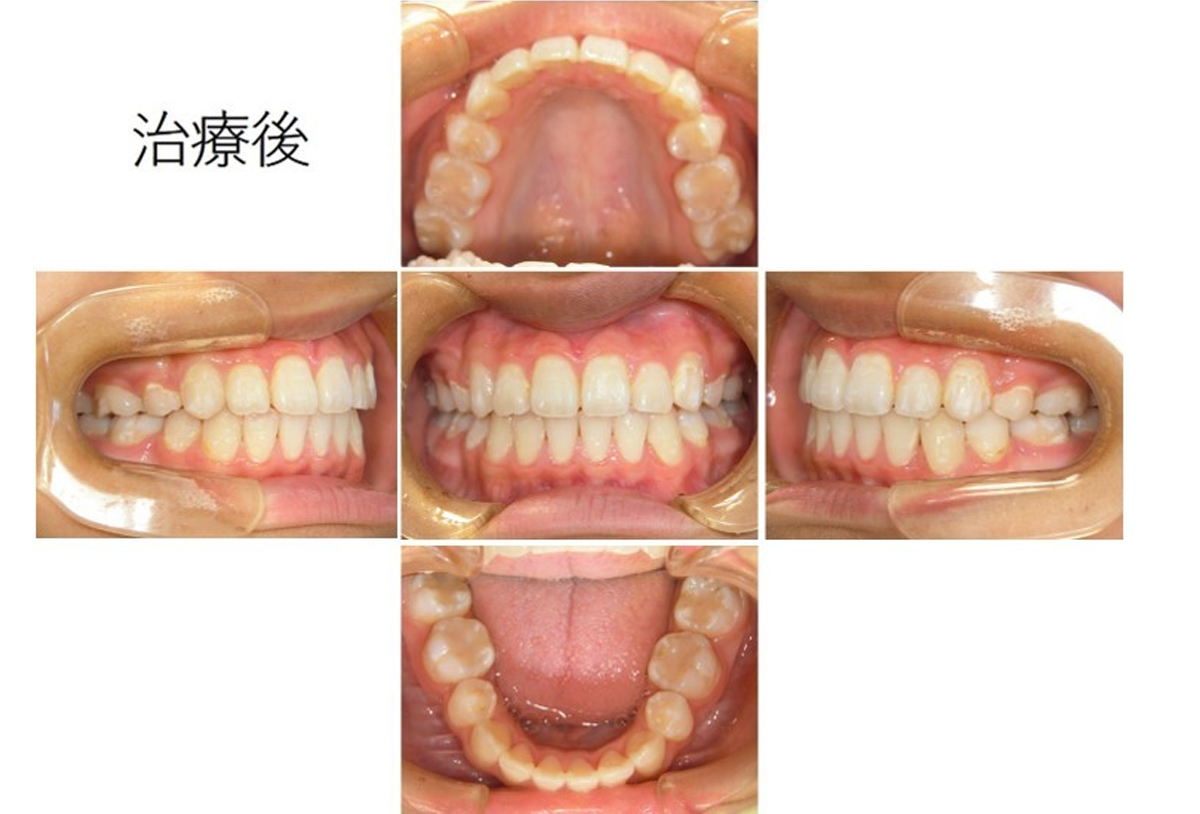
12歳11か月の女子

上下顎歯列叢生の治療「マルチブラケット装置」で治療した症例

主訴 八重歯が気になる。
診断名 上下顎歯列叢生(上下の歯列のガタガタ)
治療期間 1年6か月
治療に用いた装置 マルチブラケット装置
治療方法 上下左右4番目の歯を4本抜歯
治療費用(税別) 検査診断料5万3000円、基本料60万円、処置料5000円(/回)

上下の歯列が重度のガタガタであり、本人は特に笑った時の八重歯の見た目を気にされていました。上下とも前歯の中心が左にずれている状態でした。 上下ともガタガタの程度が非常に強いため、検査・分析・治療計画の立案を経て上下左右の4番目の永久歯を4本抜歯する「抜歯矯正」となりました。 矯正装置は「マルチブラケット装置」を選択されました。これはすべての歯に「ブラケット」というボタンを特殊なボンドで接着し、ワイヤーを結びつけてその力で歯を動かしていく装置です。治療を開始してから1か月に1回通院してもらい、1年6か月で治療が終了しました。その後は着脱可能な装置「リテーナー」を使用しながら歯ならびが後戻りしないよう3か月に1回受診で経過観察を続けています。
治療後、上下のガタガタと八重歯が解消し、中心のずれも治りました。見た目だけでなく機能的にもしっかり咬めるようになりました。

  • 当院はできる限り「非抜歯」の治療を心がけており抜歯治療は最終手段と考えていますが、状況により抜歯矯正になることがあります。治療後の状態を予測し、どうしても抜歯が必要な場合は抜歯治療のメリット・デメリットをご説明いたします。最終的にはご本人やご両親のご希望を加味した上で判断いたします。
矯正に伴うリスクについて見る
矯正に伴うリスクについて
最初は矯正装置による不快感、痛み等があります。数日間~1、2 週間で慣れることが多いです。
歯の動き方には個人差があります。そのため、予想された治療期間が延長する可能性があります。
装置の使用状況、顎間ゴムの使用状況、定期的な通院等、矯正治療には患者さんの協力が非常に重 要であり、それらが治療結果や治療期間に影響します。
治療中は、装置が付いているため歯が磨きにくくなります。むし歯や歯周病のリスクが高まります ので、丁寧に磨いたり、定期的なメンテナンスを受けたりすることが重要です。また、歯が動くと 隠れていたむし歯が見えるようになることもあります。
歯を動かすことにより歯根が吸収して短くなることがあります。また、歯ぐきがやせて下がること があります。
ごくまれに歯が骨と癒着していて歯が動かないことがあります。
ごくまれに歯を動かすことで神経が障害を受けて壊死することがあります。
治療途中に金属等のアレルギー症状が出ることがあります。
治療中に「顎関節で音が鳴る、あごが痛い、口が開けにくい」などの顎関節症状が出ることがあります。
様々な問題により、当初予定した治療計画を変更する可能性があります。
歯の形を修正したり、咬み合わせの微調整を行ったりする可能性があります。
矯正装置を誤飲する可能性があります。
装置を外す時に、エナメル質に微小な亀裂が入る可能性や、かぶせ物(補綴物)の一部が破損する 可能性があります。
装置が外れた後、保定装置を指示通り使用しないと後戻りが生じる可能性が高くなります。
装置が外れた後、現在の咬み合わせに合った状態のかぶせ物(補綴物)やむし歯の治療(修復物) などをやりなおす可能性があります。
あごの成長発育によりかみ合わせや歯並びが変化する可能性があります。
治療後に親知らずが生えて、凸凹が生じる可能性があります。加齢や歯周病等により歯を支えてい る骨がやせるとかみ合わせや歯並びが変化することがあります。その場合、再治療等が必要になる ことがあります。
矯正歯科治療は、一度始めると元の状態に戻すことは難しくなります。
ページ上部へ戻る