おとなの歯列矯正治療例
治療例は、患者さんおよび保護者の
同意を得て掲載しています。
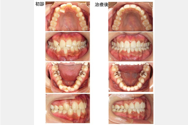
22歳の男性
就職前に歯並びを良くしておきたい「インビザライン」で治療した症例

| 主訴 | 就職前に歯並びを良くしておきたい。 |
|---|---|
| 診断名 | 上下顎歯列叢生 |
| 治療に用いた装置 | マウスピース矯正「インビザライン」(上下左右の4番目の歯を計4本抜歯) |
子どもの頃は自分の歯並びに関心がなかったそうですが、就職活動の時に大学の友人で矯正治療をする人が増え「自分も歯並びを治しておいた方が良いのかな?」と気になり始めたそうです。
歯をきれいに並べるためのスペース不足量が大きかったため、やむを得ず上下左右4番目の歯を4本抜歯する「抜歯矯正」となりました。 ご本人は抜歯矯正の場合はマウスピース矯正「インビザライン」では治療できないと思っていたそうですが、抜歯矯正でも適用可能であることをお伝えしたところ、「就職活動中に目立つのは抵抗がある」のと、「できるだけ痛くない方が良い」との理由からマウスピースタイプの矯正「インビザライン」による矯正治療を選択されました。
マウスピース矯正「インビザライン」は、歯列の状態を口腔内スキャナーでスキャンし、そのデータをインビザライン・ジャパン社に送信することで「アライナー」という薄型のマウスピースが数十枚送られてきます。このアライナーにはナンバーが記載されており、1から順に週に1回、新しい物に交換しながら一日22時間以上使用することで歯が少しずつ動いていくというシステムです。
装置による痛みはほとんどなかったそうです。また人から矯正をしていることは一切気付かれなかったそうで、友人の前で装置を外して「実はいま矯正治療中だよ」と自慢することもあったそうです(笑)
治療結果として、上下の前歯のガタガタが解消し、しっかり咬めるようになり見た目もよくなりました。治療前、下の前歯の歯ぐきが下がって(歯肉退縮)おり、矯正治療してもあまり改善が見込めないことを事前にご本人には説明していましたが、治療後に写真を見比べてみると歯肉退縮の軽度改善がみられました。
治療後は「マウスピース矯正だったので快適に治療ができました。おかげさまで就職もできました!」とのことで満足されている様子です。その後、歯の後戻り防止のため「リテーナー」という簡易的な装置を使用しながら引き続き通院していただいています。
- 当院はできる限り「非抜歯」の治療を心がけており抜歯治療は最終手段と考えていますが、状況により抜歯矯正になることがあります。治療後の状態を予測し、どうしても抜歯が必要な場合は抜歯治療のメリット・デメリットをご説明いたします。最終的にはご本人やご両親のご希望を加味した上で判断いたします。
矯正に伴うリスクについて見る
- 矯正に伴うリスクについて
- 最初は矯正装置による不快感、痛み等があります。数日間~1、2 週間で慣れることが多いです。
歯の動き方には個人差があります。そのため、予想された治療期間が延長する可能性があります。
装置の使用状況、顎間ゴムの使用状況、定期的な通院等、矯正治療には患者さんの協力が非常に重 要であり、それらが治療結果や治療期間に影響します。
治療中は、装置が付いているため歯が磨きにくくなります。むし歯や歯周病のリスクが高まります ので、丁寧に磨いたり、定期的なメンテナンスを受けたりすることが重要です。また、歯が動くと 隠れていたむし歯が見えるようになることもあります。
歯を動かすことにより歯根が吸収して短くなることがあります。また、歯ぐきがやせて下がること があります。
ごくまれに歯が骨と癒着していて歯が動かないことがあります。
ごくまれに歯を動かすことで神経が障害を受けて壊死することがあります。
治療途中に金属等のアレルギー症状が出ることがあります。
治療中に「顎関節で音が鳴る、あごが痛い、口が開けにくい」などの顎関節症状が出ることがあります。
様々な問題により、当初予定した治療計画を変更する可能性があります。
歯の形を修正したり、咬み合わせの微調整を行ったりする可能性があります。
矯正装置を誤飲する可能性があります。
装置を外す時に、エナメル質に微小な亀裂が入る可能性や、かぶせ物(補綴物)の一部が破損する 可能性があります。
装置が外れた後、保定装置を指示通り使用しないと後戻りが生じる可能性が高くなります。
装置が外れた後、現在の咬み合わせに合った状態のかぶせ物(補綴物)やむし歯の治療(修復物) などをやりなおす可能性があります。
あごの成長発育によりかみ合わせや歯並びが変化する可能性があります。
治療後に親知らずが生えて、凸凹が生じる可能性があります。加齢や歯周病等により歯を支えてい る骨がやせるとかみ合わせや歯並びが変化することがあります。その場合、再治療等が必要になる ことがあります。
矯正歯科治療は、一度始めると元の状態に戻すことは難しくなります。